当院の美容診療で美しい歯を手に入れてみませんか?
当院の美容診療で美しい歯を手に入れてみませんか
美容診療では、口内の健康だけではなく、より快適で
自然な美しさを叶えるための治療を行っています。
セラミックによる修復はとても自然です。また、金属アレルギーをおこす心配もないため、美容診療には最適です。
当院の美容診療で美しい歯を手に入れてみませんか?
美容診療とは?
美容診療とは、歯や歯ぐきを美しく、健康的に整える為の医療であり、虫歯や歯周病などの治療に加え、<美>を追求した施術法なのです。技術の進歩により、誰でも、美しい歯、そして素晴らしい笑顔を手に入れることができます。美容診療の具体的内容は、歯列矯正、ホワイトニング、オールセラミックなどがあります。

美容診療に関するお悩みやご相談など、お気軽にお問い合わせください。
美容診療とは
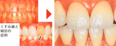
ラミネートベニア ~見た目のコンプレックス解消へ~
歯の隙間が気になる、歯が欠けている、一部くすんでいる等のお悩みをお持ちの方は、セラミック薄片をネイルチップのように貼り合わせることにより、歯の見た目のお悩みを改善し、美しく魅せることができます。
ラミネートベニア ~見た目のコンプレックス解消へ~
セラミックインレー ~詰め物をより自然に~
保険診療での金属詰め物は、見た目はもちろんのこと人工的に見え、口内健康上もよくないため、治療箇所を自然に美しくすることができます。
金属の詰め物は歯茎に成分が沈着し、黒く変色する恐れや、金属の劣化により歯との隙間から虫歯になりやすくなるなど、安価でできるものの、デメリットが多くあるのが特徴です。
また金属アレルギーの方にもお勧めしております。
セラミックインレー ~詰め物をより自然に~
セラミッククラウン・ブリッジ ~歯が欠損してしまった、歯を失ってしまった~
事故や虫歯で欠損した歯に対して、セラミックの被せものをするクラウン治療、両側の歯を土台にして橋をかけるようにセラミックで固定して補うブリッジ治療があります。

セラミック素材を使うことで、口内健康を保ち、美容性が高くなります。
セラミッククラウン・ブリッジ ~~
ホワイトニング ~より白く美しく魅せたい方へ~
ホワイトニング ~より白く美しく魅せたい方へ~
ホワイトニングはくすんだ色の歯を明るくし、より白く美しくするために行います。

ホワイトニングは、歯の着色、黄ばみなどを取り除く治療となります。ホームホワイトニングとオフィスホワイトニングの2種類があり、近年は身だしなみの一つとしてケアする意識が強く、口内を綺麗に見せることで健康的な印象を与える重要なメンテナンスとなります。
ホームホワイトニングについて(オパールエッセンス)
ホームホワイトニングとは、医師の指示のもとに、患者本人が自宅にいる間に行うホワイトニングです。

方法は、まずクリニックにて自分の歯型に合わせてトレーを作ります。そのトレーの中にホワイトニングジェルを注入し、歯に装着します。

通常2~4週間程続けて頂き、効果については個人差があります。
安全性について
当院で使用しているオパールエッセンス10%ジェルはADA(米国歯科医師会)と日本の厚生労働省から承認を受け、安全性が確立された材料です
上下トレー+ジェル:¥30,000+(税)
上下トレー+ジェル:¥30,000+(税)
オフィス ホワイトニング(ハイライト)
オフィスホワイトニングとは、クリニックで行うホワイトニングのことです。

当院では、過酸化水素を使ってホワイトニングを行います。
過酸化水素は、日常よく使われるオキシドールと同じ成分ですから、特に心配するようなホワイトニング薬剤ではありません。
(ホワイトニングで使う薬はオキシドールよりも濃度は濃いです)

歯の表面に塗った過酸化水素が、歯の表面や内部にある色素を分解して、歯を白くしていきます。
歯にダメージを与えないように少しずつ白くしていますので数回の来院が必要です。
また、ホワイトニングで一度白くなった歯を永遠に白いまま保つことは不可能です。

少しずつ色が元に戻ってしまいますので、定期的に歯科医院でホワイトニングをしたり、ご家庭でホームホワイトニングと併用することをお勧めします。
上下 12本(4回分):¥40,000+(税)
上下 12本(4回分):¥40,000+(税)
お気軽にお問い合わせください。
ホワイトニングに関するお悩みやご相談など、 お気軽にお問い合わせください。